Hello Ava friends and supporters! We had an excellent day. It was boring at times... and boring my friends I will take ANY DAY! We started out being awaken at 6:30 am by the surgery team. I had fallen into deep sleep at about midnight. Brian had the night shift so clearly I was worn down! Dr. Farver told Ava something she was wanting to hear so badly... "You can eat whatever you want!." We were all a little shocked. Usually after a clear liquid diet they move to soft foods. Ava's day was off to a wonderful start! As soon as they changed her diet they were picking out breakfast items. You would think it was Christmas morning! We take so many things for granted don't we?
She ate, her favorite cinnamon rolls, eggs and bacon for breakfast. She savored every bite!
I helped her shower and washed her hair. She felt so much better and looked it too! I ordered Ava special handmade gowns she could wear here to make her feel more like herself and share her personality. Sarah Reid from BoulevardDesigns worked with me and got the gowns sewn, packaged and mailed in just a few days. I was so happy with her work. We have gotten so many compliments on the gowns I thought I'd share her information on Ava's blog. Sarah is amazing! Check out her work. She does all kinds of personalized things for medical purposes. Her prices are very reasonable. I'm so happy that I went the extra mile to make Ava feel special. It's small things like this that makes a big difference. I do sew but with the virus there was no way I could chance getting exposed and getting them done in none days. (Ava did get to pick out her surgery day.)
She also got an x ray today. They wanted to see her diaphragm and lungs. She was so patient. The technician remembered us and we had a good little laugh about old times. We are seeing many nurses and staff that were here ten plus years ago.
We took Ava on a walk. She is supposed to make a full lap around the unit. It's probably 200 steps... guessing here. She is getting so tall. Brian is still taller but maybe not for long... we will see! She is so glad that he was able to take work off to be with us through this entire surgery process. We make such a great team. We haven't done it for awhile but it was just like riding a bike, you pick up where you left off. Loving, Caring, Supporting and Advocating for her needs.
Here they are planning her lunch. Pizza, cheeseburger and fries. I love that he helps her so much!
She ate, her favorite cinnamon rolls, eggs and bacon for breakfast. She savored every bite!
I helped her shower and washed her hair. She felt so much better and looked it too! I ordered Ava special handmade gowns she could wear here to make her feel more like herself and share her personality. Sarah Reid from BoulevardDesigns worked with me and got the gowns sewn, packaged and mailed in just a few days. I was so happy with her work. We have gotten so many compliments on the gowns I thought I'd share her information on Ava's blog. Sarah is amazing! Check out her work. She does all kinds of personalized things for medical purposes. Her prices are very reasonable. I'm so happy that I went the extra mile to make Ava feel special. It's small things like this that makes a big difference. I do sew but with the virus there was no way I could chance getting exposed and getting them done in none days. (Ava did get to pick out her surgery day.)
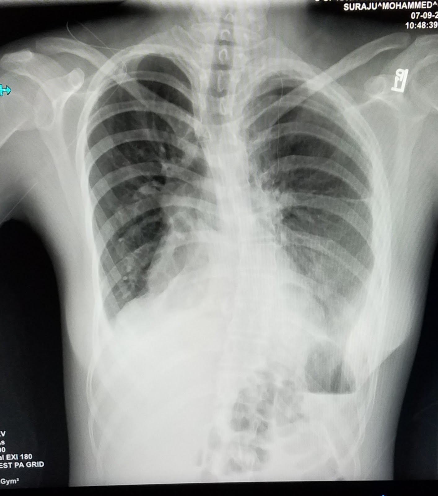
She also got an x ray today. They wanted to see her diaphragm and lungs. She was so patient. The technician remembered us and we had a good little laugh about old times. We are seeing many nurses and staff that were here ten plus years ago.
Here is her new diaphragm. Things look good. It's reassuring to know that organs are in their proper places! Her left side lung is more visible now.
Here they are planning her lunch. Pizza, cheeseburger and fries. I love that he helps her so much!
Kirsten the music therapist came by today. She helped Ava in 2009. It was bittersweet seeing her and talking about how much Ava has gone through and how she has grown.
2009
2020
She plays her guitar lightly, helping Ava through relaxing and breathing techniques to calm and help with pain. I sat on the couch and she made me feel so relaxed that I began praising God and rejoicing to myself through meditation. I remembered the journey, struggles, long hospital stays and many tear filled days and nights... and here we were ten years later. My precious baby had to endure so much and here we are again. This time she is just excelling. I had been praying that this inevitable surgery would go well. I never dreamed it would go this well. Ava is healing so quickly. The medications have fallen into place and as I sat there I thought... I did it I gave her surgery to God. I can't control what happens in her medical cdh journey. I can only choose how I can be. I yielded to His will. It was so very hard and at times I felt out of my mind... yet God is here. So I was so blessed today that Kirsten was part of Ava's journey and part of this healing day!
This afternoon we played bingo virtually with Kirsten and Ava won twice. You had to guess the name of the movie when she played a song. We all played and had so much fun. Ava won an adult coloring book and Minecraft Uno cards. Guess what we played next? Yep UNO! I seriously can't remember the last time I laughed and had a great time. Poor Ava kept pleading with us to stop making her laugh. Her abdominal muscles were hurting from laughing so hard. Brian's face lit up and his smile... well it melted my heart. See this is what God does... He takes a bleak situation like surgery and He uses it for us to bond as a family. Brian works so much and we get very little time with him. God gave us Joy in the midst of a storm.
We did a couple of live videos on our CDH facebook page and my personal page. So many people have poured their hearts out and prayed to God for help in healing and restoration in Ava's body. Dr. Shilyansky was her surgeon at 25 months when she reherniated. He did so many of her surgeries we are so grateful for his wisdom and experience to fix her diaphragm. God bless these surgeons as they pour their talents out to fix children. Many doctors worked on Ava for 9 hours Monday. I'm just in awe of how much of a miracle Ava's life has become. We don't know where life where take us but we can prepare our hearts to grab onto the good people, the good values and the good lessons we get out of places we never expected to go.
A storm came on pretty quick here in Iowa City this afternoon. We are on the ninth floor of the Children's hospital. So many dark cloud surrounded us and rain poured and poured filling the streets and sidewalks. We watched as people moved about in the storm. It wasn't very long and the clouds lifted and the sun started shining again. This hospital stay has brought so many mixed and buried emotions back to the surface. There is one thing I'm sure of and that is God's love for us. I will praise Him in the Storms and I will praise him in the Sun! I am so glad that He is in my heart and He is my Heavenly Father. I think back on these last 14 years... our Ava she is a MIRACLE that is sent by God. She has taught me to stay focused on today. Be grateful in the here and now. We are not assured of tomorrow but we can celebrate today.
Ava was unplugged from all her lines. The epidural was slowly weaned today and was taken out around 3 Her IV lines were capped and her monitors taken off. To make it even better the surgery team came in and told us she was doing so well that tomorrow she may go home. We want God's perfect timing. How great is this?!
We just had a great day!
Thanks again for your support, love and prayers.
Last Friday our family got together before Ava's surgery to have supper and we took family pictures. I'm so blessed to call these four people my world! Although Lexis and Emeline could only support Ava through video calls these last 4 days it was just what Ava needed.
To Lexis and Emeline... "Thanks girls for ALWAYS being available for your sister. She loves you because you love her so much. You both have always sacrificed your needs above Ava... I'm sorry it has been this way. I'm so proud of you both. You are loving, kind and giving... I truly believe you are who you are because of our trials with Ava's medical story. I'm so blessed to call you my daughters I love you both so much!!"
To Ava... "You are a Miracle and a super strong young lady. You crushed this surgery. God has some BIG plans for your life. I can't wait to see what is in store. You've taught me so much more than I ever knew possible. I've learned how to have a heart for people. To see them in their struggles and lift them up... tell them they are not alone. We are survivors! You and me, girl I love you!."
God Bless.








2 comments:
YAYAYAYAYYAAYYA You all get some sleep tonight.
Hugs and Prayers from Gayl
Terri....
I embrace boring as a blessing from Above!! Yes, yes.... Boring is VERY good, indeed!! ;)
Go, Ava, GO!! :-D
Peace and Love, Mary Lou
Post a Comment